Tổng quan
Việc sở hữu hệ thống máy X-Quang nhũ ảnh 3D cùng quy trình thăm khám khoa học, đội ngũ bác sĩ được đào tạo bài bản về mảng chẩn đoán hình ảnh bệnh lý tuyến vú và các thủ thuật can thiệp chuyên sâu tuyến vú tại các bệnh viện lớn của cả nước, Thiện Nhân sẽ hình thành Trung tâm Nhũ hàng đầu khu vực miền Trung – Tây Nguyên.
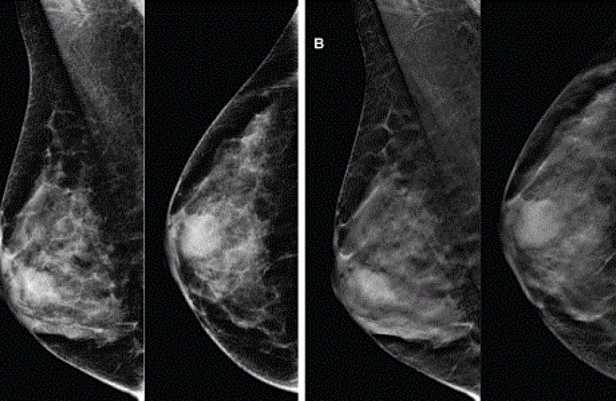
Nhũ ảnh
Nhũ ảnh là kỹ thuật chụp X- QUang tuyến vú để sàng lọc ung thư vú đặc biệt phát hiện các vi vôi, xáo trộn cấu trúc mà việc thăm khám thông thường không phát hiện được.
Chụp Nhũ ảnh 3D tại Thiện Nhân
- Khách hàng được tư vấn, giải thích kỹ trước khi chụp.
- Quy trình chụp với kỹ thuật phù hợp, khép kín tạo sự thoải mái, riêng tư cho khách hàng.
- Kết quả nhanh chóng, độ chính xác cao.
- Khách hàng được tư vấn kết quả và hướng điều trị trực tiếp với các chuyên gia.
Chức năng
- Phân tích phim chụp bằng nhiều lát cắt.
- Nhận định hình ảnh với độ chính xác cao.
- Hạn chế bỏ sót tổn thương do đặc điểm chồng lấp mô tuyến.
- Phát hiện sớm ung thư vú ngay từ giai đoạn đầu, tăng khả năng chữa khỏi và phẫu thuật bảo tồn tuyến vú.
Ưu điểm vượt trội khi tầm soát các bệnh lý tuyến vú trên máy X-Quang nhũ ảnh 3D Mammomat Inspiration
- Chụp 3D với độ nét, độ tương phản cao, chi tiết vượt trội cho phép thấy rõ vị trí và giới hạn tổn thương mà trên X-Quang vú thông thường không thấy rõ.
- Tăng tỷ lệ phát hiện ung thư vú lên đến 40% so với 2D, đồng thời giảm tỷ lệ dương tính giả xuống 15%, đặc biệt với các mô vú đặc và mô vú ở phụ nữ trẻ tuổi.
- Tối ưu hóa lực ép tự động giúp giảm đau.
- Liều tia X trong một lần chụp thấp, hạn chế gây hại đến sức khỏe.
- Phát hiện chính xác vị trí tổn thương, giúp bác sĩ có thể sinh thiết đối với những tổn thương chỉ thấy trên nhũ ảnh.

