LẤY CAO RĂNG – THỔI CÁT – TẨY TRẮNG RĂNG: CHĂM SÓC RĂNG MIỆNG KHỎE ĐẸP TOÀN DIỆN
Sức khỏe răng miệng không chỉ ảnh hưởng đến khả năng ăn nhai mà còn tác động trực tiếp đến thẩm mỹ khuôn mặt, sự tự tin và chất lượng cuộc sống. Dù đánh răng mỗi ngày, mảng bám và vi khuẩn vẫn có thể tích tụ âm thầm theo thời gian, đặc biệt tại các vị trí khó làm sạch như kẽ răng và dưới nướu. Nếu không được can thiệp đúng cách, đây chính là nguyên nhân dẫn đến nhiều bệnh lý răng nướu.
Trong đó, lấy cao răng – thổi cát – tẩy trắng răng được xem là bộ 3 giải pháp chăm sóc răng miệng toàn diện, được các bác sĩ nha khoa khuyến nghị nhằm duy trì hàm răng khỏe mạnh và nụ cười rạng rỡ lâu dài.
LẤY CAO RĂNG – BƯỚC NỀN TẢNG BẢO VỆ RĂNG VÀ NƯỚU
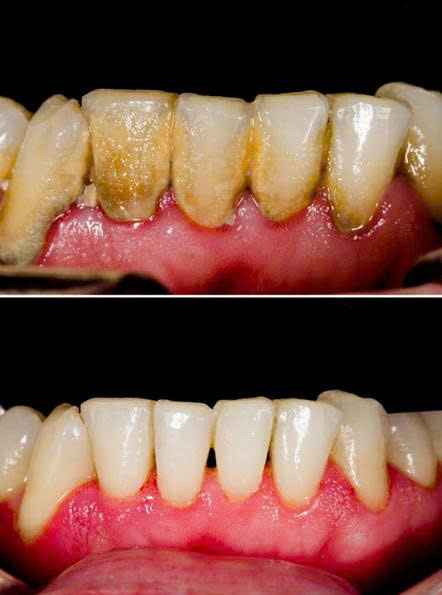
Cao răng là mảng bám đã bị vôi hóa, hình thành từ thức ăn thừa và vi khuẩn, bám chặt ở cổ răng và sâu dưới nướu. Dù bạn có chải răng kỹ đến đâu, bàn chải thông thường cũng không thể loại bỏ hoàn toàn cao răng.
Tác hại của cao răng nếu không được loại bỏ
Cao răng là nguyên nhân hàng đầu gây ra các bệnh lý răng miệng như:
- Viêm nướu, tụt lợi, khiến chân răng lộ ra và trở nên nhạy cảm;
- Tiêu xương ổ răng, làm giảm khả năng nâng đỡ răng;
- Hơi thở có mùi hôi kéo dài do vi khuẩn phát triển mạnh;
- Chảy máu khi đánh răng hoặc ăn nhai;
- Răng lung lay, tăng nguy cơ mất răng sớm nếu không điều trị kịp thời.
Những tình trạng này không chỉ ảnh hưởng đến sức khỏe mà còn khiến nhiều người mất tự tin trong giao tiếp, ngại cười và hạn chế tương tác xã hội.
Lợi ích khi lấy cao răng định kỳ
Lấy cao răng giúp loại bỏ triệt để mảng bám và vi khuẩn gây hại, từ đó:
- Giúp nướu hồng hào, săn chắc hơn;
- Ngăn ngừa viêm nướu và các bệnh nha chu;
- Cải thiện rõ rệt tình trạng hôi miệng và chảy máu chân răng;
- Duy trì hàm răng chắc khỏe theo thời gian;
- Mang lại cảm giác sạch sẽ, dễ chịu ngay sau khi thực hiện.
THỔI CÁT RĂNG – LÀM SẠCH SÂU VÀ XOÁ VẾT Ố CỨNG ĐẦU
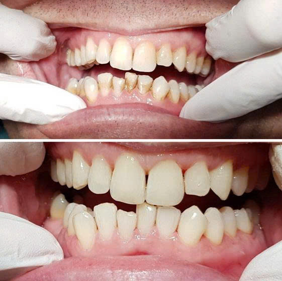
Hiện nay, rất nhiều trường hợp răng xuất hiện tình trạng xỉn màu, bám màu lâu ngày do thói quen hút thuốc lá, sử dụng cà phê, trà hoặc sau quá trình chỉnh nha. Những mảng bám này thường không thể được loại bỏ hoàn toàn chỉ bằng việc lấy cao răng và đánh bóng thông thường. Chính vì vậy, phương pháp thổi cát răng được ứng dụng như một giải pháp hiện đại, giúp làm sạch răng chuyên sâu và cải thiện đáng kể các vết ố bám trên bề mặt răng.
Thổi cát răng là gì?
Thổi cát là phương pháp sử dụng thiết bị chuyên dụng, kết hợp không khí áp suất cao, nước và bột khoáng mịn, giúp đánh bay mảng bám, làm sạch các mảnh vụn thức ăn ở kẽ răng, hố rãnh sâu và những vị trí khó tiếp cận.
Các hạt cát có kích thước siêu nhỏ, thường là các muối khoáng lành tính, giúp làm sạch hiệu quả mà vẫn an toàn cho men răng và mô nướu.
Lợi ích của thổi trắng răng
Thổi cát là giải pháp phù hợp cho những khách hàng có nhu cầu làm sạch răng toàn diện, kể cả tại những vị trí khó làm sạch mà các phương pháp thông thường khó tiếp cận, đồng thời không gây tổn hại đến mô mềm và cấu trúc răng. Phương pháp này vừa đảm bảo hiệu quả, vừa mang lại cảm giác nhẹ nhàng và thoải mái trong suốt quá trình thực hiện.
Nhờ sự kết hợp giữa áp lực nước và khoáng chất chuyên dụng, thổi cát mang lại nhiều lợi ích nổi bật như:
- Làm sạch sâu các mảng bám tích tụ dưới nướu;
- Loại bỏ nhanh chóng vết ố và cặn thức ăn ở kẽ răng;
- Không gây mài mòn răng, bảo vệ men răng tự nhiên;
- An toàn cho nướu, hạn chế cảm giác đau hoặc khó chịu;
- Thời gian thực hiện ngắn nhưng mang lại hiệu quả rõ rệt.
Đặc biệt, sau khi thổi cát, khách hàng có thể ăn uống và sinh hoạt bình thường ngay, không cần thời gian nghỉ dưỡng hay kiêng khem phức tạp.
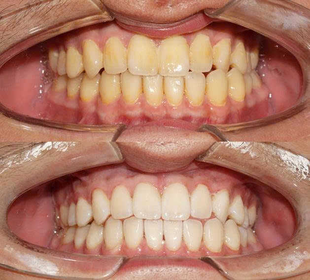
TẨY TRẮNG RĂNG – NÂNG CẤP NỤ CƯỜI, GIỮ NGUYÊN RĂNG TỰ NHIÊN
Tẩy trắng răng là một trong những phương pháp thẩm mỹ nha khoa phổ biến, giúp cải thiện tình trạng răng xỉn màu, ố vàng theo thời gian mà không làm ảnh hưởng đến cấu trúc răng tự nhiên. Phương pháp này phù hợp với những khách hàng mong muốn sở hữu nụ cười tươi sáng hơn nhưng vẫn đảm bảo yếu tố an toàn và bảo tồn răng thật.
Tẩy trắng răng là gì?
Tẩy trắng răng là kỹ thuật sử dụng các chất làm trắng chuyên dụng kết hợp với ánh sáng hỗ trợ, giúp phá vỡ các phân tử gây sậm màu trên bề mặt và bên trong răng. Quá trình này giúp cải thiện màu răng hiệu quả mà không gây tổn hại đến men răng khi được thực hiện đúng chỉ định.
Tẩy trắng răng có thể được thực hiện tại phòng khám hoặc tại nhà theo hướng dẫn của bác sĩ. Để đảm bảo an toàn và đạt hiệu quả tối ưu, khách hàng cần đáp ứng một số điều kiện như:
- Răng và nướu khỏe mạnh, men răng còn tốt;
- Không mắc các bệnh lý răng miệng như viêm nướu, nha chu;
- Không gặp tình trạng ê buốt răng kéo dài hoặc răng bị mài mòn nghiêm trọng.
Khi nào nên tẩy trắng răng?
Tẩy trắng răng phù hợp với phần lớn khách hàng có nhu cầu cải thiện màu sắc răng. Phương pháp này thường được bác sĩ nha khoa khuyến nghị trong các trường hợp:
- Răng ố vàng do ảnh hưởng từ chế độ ăn uống lâu ngày;
- Màu răng xỉn, kém sáng dù đã vệ sinh kỹ;
- Khách hàng muốn nâng tầm nụ cười trong công việc và giao tiếp.
Ưu điểm của dịch vụ tẩy trắng răng hiện đại
Hiện nay, khách hàng có thể lựa chọn tẩy trắng tại nhà, tại phòng khám hoặc kết hợp cả hai tùy theo nhu cầu. Với công nghệ tiên tiến:
- Hiệu quả trắng sáng rõ rệt chỉ sau 1 lần hẹn;
- Sử dụng thuốc tẩy Beyond Max 5 (Mỹ) kết hợp đèn Beyond II Ultra Whitening Accelerator;
- Giúp tăng hiệu quả trắng tối đa và giảm ê buốt tối thiểu;
- Được kiểm soát an toàn bởi bác sĩ nha khoa chuyên môn cao.
Theo BS. Nguyễn Ngọc Hoàng Hải, việc lấy cao răng định kỳ 4–6 tháng/lần là cần thiết để duy trì sức khỏe răng miệng lâu dài. Với những người thường xuyên uống cà phê hoặc hút thuốc lá, bác sĩ khuyến nghị nên kết hợp thêm thổi cát nhằm làm sạch sâu và loại bỏ tối đa các vết ố bám trên răng. Trong trường hợp khách hàng mong muốn nâng tầm thẩm mỹ nụ cười, có thể kết hợp tẩy trắng răng để đạt hiệu quả trắng sáng rõ rệt.
Phòng khám Nha khoa tại Thiện Nhân Hospital được đầu tư đồng bộ về cơ sở vật chất, hệ thống máy móc hiện đại cùng đội ngũ bác sĩ giàu kinh nghiệm, vững chuyên môn, luôn cập nhật các phương pháp điều trị tiên tiến trong và ngoài nước.
Các dịch vụ chăm sóc và điều trị răng miệng tại đây được thực hiện theo quy trình chuẩn y khoa, đảm bảo yếu tố an toàn, nhẹ nhàng và hiệu quả lâu dài cho từng khách hàng. Hệ thống trang thiết bị nha khoa hiện đại giúp hỗ trợ chẩn đoán chính xác, rút ngắn thời gian điều trị và nâng cao trải nghiệm trong suốt quá trình thăm khám.
Với định hướng lấy sức khỏe và sự hài lòng của khách hàng làm trung tâm, Phòng khám nha khoa – Thiện Nhân Hospital không ngừng nâng cao chất lượng chuyên môn, mang đến các giải pháp chăm sóc răng miệng toàn diện – từ điều trị bệnh lý đến thẩm mỹ nụ cười.
Liên hệ hotline 0982.135.606 hoặc nhắn tin Fanpage / Zalo OA Thiện Nhân Hospital để được tư vấn và chăm sóc nụ cười ngay hôm nay nhé!
Thiện Nhân Hospital – Tiên phong Y khoa Kỹ thuật cao tại miền Trung
🏨 Cơ sở 1: 276 – 278 – 280 Đống Đa, Phường Hải Châu, TP. Đà Nẵng
🏨 Cơ sở 2: 168 Hùng Vương, Phường Nghĩa Lộ, Tỉnh Quảng Ngãi
| Dành cho Khách hàng Việt kiều & quốc tế










