Tổng quan
Thiện Nhân từ khi ra đời đã luôn luôn mong muốn đưa những kỹ thuật y khoa cao cấp nhất đến gần với người dân Đà Nẵng, người dân miền Trung. Chính vì thế, từ những ngày đầu tiên toàn bộ hệ thống máy móc trang thiết bị mà Thiên Nhân lựa chọn đều là hàng đầu để bắt kịp với sự phát triển của y khoa trên thế giới và hệ thống máy MRI 3.0 Tesla tại Thiện Nhân Đà Nẵng chính là bảo chứng cho bước đi tiên trong công nghệ của Thiện Nhân.
Chụp cộng hưởng từ (MRI)
Chụp cộng hưởng từ (MRI) là phương pháp sử dụng từ trường mạnh, sóng vô tuyến để phác hoạ hình ảnh chi tiết bên trong cơ thể. Đây là một trong những kỹ thuật hiện đại nhất hiện nay để tìm sự hiện diện của khối u, di căn, viêm và các loại thay đổi mô bệnh lý khác ở giai đoạn sớm.
Chụp hưởng từ MRI tại Thiện Nhân
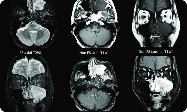
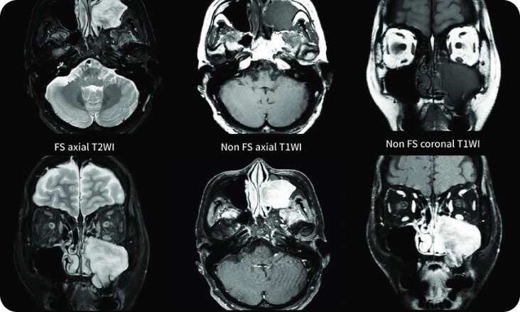
MRI Đầu cổ
Chụp sọ não, vùng cổ, mạch máu, cột sổng cổ, khớp thái dương hàm, tai họng
Chất lượng hình ảnh tốt, ít nhiễu ảnh.
Ứng dụng MRI sọ não nâng cao:
- MRI tươi máu
- MRI Chức năng
- MRI tai trong
- MRI phổ – MRI khuếch tán sợi trục thần kinh
MRI Cột sống
- Hình ảnh cột sổng cổ, ngực, thắt lưng với độ phân giải cực cao
- Giảm nhiễu ảnh do bộ phận cấy ghép kim loại
Ứng dụng nâng cao
- Tái tạo đường cong tự động toàn bộ cột sống
- Chụp đám rối thần kinh
MRI Cơ xương khớp
- H3 coil chuyên biệt lên đến 18 kênh hiện đại nhất miền trung
- Chụp bộ phận nhỏ nhất đến khớp lớn nhất với chất lượng hình ảnh tốt nhất
- Chụp khớp gối 3D, giẩm nhiễu ảnh do bộ phận cấy ghép kim loại gây ra
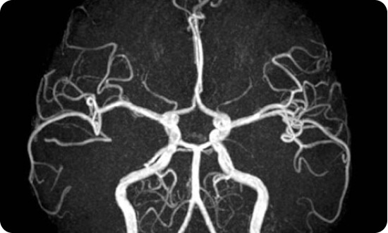
MRI Chụp mạch máu
- Cuộn thu mạch máu ngoại biên và toàn bộ chi dưới 36 kênh
- Độ chính xác cao
- Chụp mạch máu não trong và ngoài sọ, mạch tạng, mạch ngoại biên nhanh, rõ nét chẩn đoán chính xác hẹp, tác, dị dạng mạch não không sử dụng đối quang từ
MRI Ổ bụng
- Giảm nhiễu ảnh do nhịp thở, hiện thị tổn thương với độ phân giải cao
- Giảm nhiễu, đồng nhất về cường độ tín hiệu cho hiệu quả chấn đoán chính xác
- Tiêm thuốc đối quang từ: Tiêm máy tự động, phần mềm careBolus kiểm soát chính xác thời điểm chụp sau tiêm, tạo ảnh động học ce-MRA cho hình ảnh 3D theo thời gian
- Định lượng gian nhiễm sắt (nâng cao)
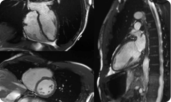
MRI Tim
- Kiểm soát nhịp thở và thở tự do để tăng tương phản giữa các cấu trúc và mạch máu
- Tạo ảnh động cho phép đánh giá van tim với độ phân giải cao
- Đánh giá tình trạng mô với chất lượng cao
- Các chương tình chụp tim gắng sức và thư giãn với độ phân giải cao
- Đánh giá tốt bệnh lý cơ tim, van tim,…
- Đánh giá trước phẫu thuật trong các bệnh tim bẩm sinh
MRI Vú
- Xung 2D, 3D với độ phân giải cao
- Xung đánh giá vú có cấy siliconphần mềm tại tạo xung quanh núm vú
- MRI phổ khối u
- Đánh giá chính xác tổn thương vú với độ phân giải cao nhất
MRI Toàn thân
- Tầm soát khối u và các bệnh lý khác từ đầu đến chân: não, vùng cổ, cột sống, gan mật, tuỵ, tử cung – phần phụ, tuyến tiền liệt,…
Tầm soát và đánh giá giai đoạn TNM
- Đánh giá xâm lấn tại chỗ và di căn xa tương đương chụp PET/CT
- Giúp bác sĩ đưa ra phác đồ điệu trị phù hợp
- Dễ dàng theo dõi định kỳ sau điều trị hoá trị, xạ trị
Chức năng của hệ thống máy MRI 3.0 Tesla Lumina của hãng Siemens Đức
- Chất lượng hình ảnh cao, đảm bảo chẩn đoán chính xác với Công nghệ ma trận sinh học và trí tuệ nhân tạo AI
- Chụp cộng hưởng từ toàn thân giúp tầm soát ung thư sớm, chính xác với thời gian nhanh chóng
- Có vai trò quan trọng và độ chính xác cao trong chẩn đoán đột quỵ cấp và các bất thường mạch máu não mà có thể không cần sủ dụng chất đối quang từ
- Chẩn đoán bệnh lý cơ xương khớp với chất lượng hình ảnh cao, chính xác, đáp ứng đầy đủ yêu cầu trong chấn thương chỉnh hình
- Mang lại giá trị rất cao trong việc đánh giá tổn thương thần kinh – cột sống, các bệnh lý tim mạch, nhi khoa, tuyến vú, tuyến tiền liệt, sản phụ khoa, gan mật
Ưu điểm hệ thống máy MRI 3.0 Tesla Lumina của hãng Siemens Đức tại Thiện Nhân
Hệ thống máy MRI 3.0 Tesla Lumina tại Thiện Nhân Đà Nẵng không chỉ có vai trò quan trọng và độ chính xác cao trong tầm soát, chẩn đoán các bệnh lý nguy hiểm như ung thư, đột quỵ cấp, các bất thường mạch máu não như túi phình mạch máu não, dị dạng động – tĩnh mạch não,… mà dây còn là cơ sở để bác sĩ đưa ra phương pháp điều trị hiệu quả cho khách hàng, bệnh nhân Chụp cộng hưởng từ toàn thân trên hệ thống máy MRI 3.0 Tesla Lumina tại Thiện Nhân Đà Nẵng có những ưu điểm vượt trội trong chẩn đoán các bệnh lý
Ưu điểm của MRI toàn thân so với PET/CT:
- MRI toàn thân có độ nhạy tương đương hoặc cao hơn PET/CT ở một số bệnh ung thư, phát hiện được nhiều tổn thương hơn
- MRI cho hình ảnh chi tiết giải phẫu rõ nét như PET/CT, khảo sát khối u toàn thân không phải chịu tác hại của tia X như chụp PET/CT, hình ảnh MRI có thể định hướng được khối u lành hay ác tính
- MRI toàn thân an toàn tuyệt đối cho người chụp, có thể thực hiện định kỳ, chụp được cả mạch máu mà không cần tiêm chất tương phản
- Thời gian chụp nhanh, không phức tạp
- Chi phí thấp hơn nhiều so với chụp PET/CT
