CHỤP CT NGỰC LIỀU THẤP – GIẢI PHÁP TẦM SOÁT UNG THƯ PHỔI SỚM
Một bệnh nhân nữ 61 tuổi (Nam Phước, TP. Đà Nẵng) chỉ sau một lần té ngã đã phát hiện mắc ung thư phổi di căn đa cơ quan nhờ chẩn đoán tại Thiện Nhân.
Trường hợp này là lời cảnh báo mạnh mẽ về tầm quan trọng của chụp CT phổi liều thấp trong phát hiện sớm ung thư phổi.
Đến Thiện Nhân khám sau cú ngã nhẹ phát hiện ung thư phổi giai đoạn cuối
Bệnh nhân nhập viện với triệu chứng đau sau té ngã. Tại bệnh viện địa phương, kết quả CT não cho thấy bất thường nhưng chưa xác định được nguyên nhân.
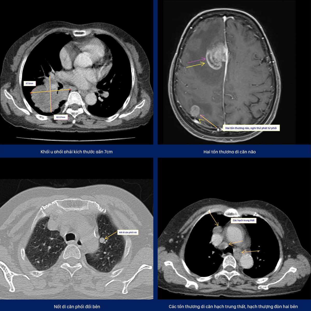
Khi đến Thiện Nhân, bệnh nhân được chụp MRI sọ não 3.0 Tesla Siemens Lumina, ghi nhận tổn thương nghi di căn não. Để tìm ổ nguyên phát, bác sĩ đã chỉ định chụp CT ngực.
Kết quả: phát hiện khối u phổi phải gần 7cm, di căn hạch trung thất, di căn phổi đối bên, di căn não – chẩn đoán ung thư phổi giai đoạn cuối.

Vai trò của chụp CT phổi liều thấp trong chẩn đoán
Chìa khóa phát hiện bệnh đến từ hệ thống thiết bị hiện đại và đội ngũ bác sĩ giàu kinh nghiệm:
– MRI 3.0 Tesla Siemens Lumina (Đức): Tái tạo hình ảnh não chi tiết, giúp phát hiện tổn thương di căn mà X-quang hoặc siêu âm khó nhận ra.
– Chụp CT ngực liều thấp: Công nghệ hiện đại cho phép phát hiện khối u nhỏ dưới 1cm, với liều tia thấp hơn chụp CT thông thường, hạn chế nguy cơ phơi nhiễm tia X nhưng vẫn đảm bảo độ chính xác cao.
– Phối hợp liên chuyên khoa: Các bác sĩ chẩn đoán hình ảnh, thần kinh, hô hấp, ung bướu cùng tham gia, rút ngắn thời gian chẩn đoán và đưa ra phác đồ điều trị phù hợp.
Vì sao cần tầm soát bằng chụp CT ngực liều thấp?
Ung thư phổi ở giai đoạn sớm thường không có triệu chứng rõ ràng, khiến phần lớn bệnh nhân chỉ phát hiện khi đã muộn.
Theo các bác sĩ tại Thiện Nhân, sàng lọc ung thư phổi bằng CT ngực liều thấp là phương pháp hiệu quả nhất hiện nay vì:
– Phát hiện sớm khối u nhỏ, khi chưa có triệu chứng.
– Nâng cao khả năng điều trị thành công.
– Giảm chi phí so với điều trị muộn.
– Cải thiện chất lượng sống, tăng cơ hội sống cho người bệnh.
Những ai nên chụp CT ngực liều thấp?
Người có nguy cơ cao nên thực hiện tầm soát định kỳ, đặc biệt:
– Người trên 50 tuổi.
– Có tiền sử hút thuốc lá nặng (≥20 gói/năm).
– Gia đình có người mắc ung thư phổi.
– Người làm việc trong môi trường độc hại (amiăng, radon, hóa chất công nghiệp…).
– Người hút thuốc lá thụ động.
– Xuất hiện các triệu chứng hô hấp kéo dài: ho, ho ra máu, khó thở, tức ngực, khàn tiếng, nuốt nghẹn…
Để đặt lịch khám tại Thiện Nhân, vui lòng liên hệ HOTLINE 0982.135.606 hoặc đặt trực tiếp qua Fanpage và Zalo OA.
Thiện Nhân Hospital – Tiên phong Y khoa Kỹ thuật cao tại miền Trung
🏨 Cơ sở 1: 276 – 278 – 280 Đống Đa, Phường Hải Châu, TP. Đà Nẵng
🏨 Cơ sở 2: 168 Hùng Vương, Phường Nghĩa Lộ, Tỉnh Quảng Ngãi
| Dành cho Khách hàng Việt kiều & quốc tế





