BẰNG MRI, THIỆN NHÂN HOSPITAL PHÁT HIỆN UNG THƯ BUỒNG TRỨNG Ở PHỤ NỮ CHƯA TỪNG SINH CON
Đà Nẵng, tháng 10/2025 – Thiện Nhân vừa tiếp nhận và xử lý một ca bệnh đặc biệt: Bệnh nhân nữ 28 tuổi, chưa từng sinh con, phát hiện u buồng trứng nghi ngờ ác tính. Trường hợp này đã được đội ngũ bác sĩ của Thiện Nhân triển khai chuỗi hội chẩn đa chuyên khoa liên tục, giúp làm sáng tỏ bản chất khối u và định hướng điều trị phù hợp.
Phát hiện bất thường từ lần kiểm tra sức khỏe định kỳ bị bỏ qua
Bệnh nhân N.T.T, sinh sống và làm việc tại nước ngoài, do bận rộn công việc nên ít khi thăm khám định kỳ. Trong lần về thăm gia đình tại Nghệ An (tháng 5/2025), chị thực hiện kiểm tra sức khỏe tổng quát và tình cờ phát hiện khối u lớn ở buồng trứng, kết quả MRI cho thấy ORADS 4 – mức nghi ngờ ác tính cao (nguy cơ 10–50%). Tuy nhiên, do chưa được tư vấn điều trị đầy đủ, khối u bị bỏ qua và không được theo dõi.
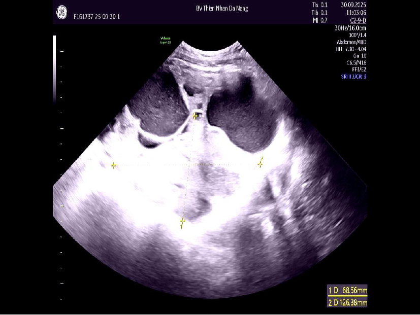
Đến cuối tháng 9/2025, khi xuất hiện đau bụng, chướng vùng rốn và ra huyết âm đạo kéo dài, chị T. đến Thiện Nhân thăm khám. Kết quả siêu âm ghi nhận khối u phát triển nhanh, kích thước 16–17 cm, chiếm gần trọn ổ bụng, tương đương với thai khoảng 6 tháng.
Khi chỉ số β-hCG hé lộ điều bất ngờ
Sau khi đối chiếu với kết quả MRI cũ, bác sĩ nhận thấy diễn tiến khối u bất thường và chỉ định chụp MRI 3.0 Tesla Lumina kết hợp xét nghiệm β-hCG trước khi thực hiện chụp. Kết quả cho thấy β-hCG tăng cao (1356 UI/ml), buộc phải tạm hoãn chụp MRI để làm rõ nguyên nhân.
Đây là tình huống lâm sàng phức tạp, với ba khả năng được đặt ra:
– Bệnh nhân mang thai giai đoạn sớm (thai sinh hoá)?
– Thai ngoài tử cung?
– Hay là u buồng trứng tế bào mầm có khả năng tiết β-hCG?
Ngay lập tức, Thiện Nhân tổ chức hội chẩn liên chuyên khoa gồm BS.CKI Phan Công Long – Giám đốc chuyên môn, BS.CKI Lê Thị Kim Cúc – Trưởng khoa Chẩn đoán hình ảnh, BS.CKI Nguyễn Ngọc Thiện – Bác sĩ Sản Phụ khoa, cùng các bác sĩ siêu âm.
Sau 24 giờ theo dõi, β-hCG vẫn không thay đổi nhiều 1317 UI/ml, progesterone chỉ 0.97 ng/ml (gợi lý liên quan có thai thấp), không ghi nhận dấu hiệu mang thai trên siêu âm. Các bác sĩ loại trừ khả năng thai sinh hoá và thai ngoài tử cung, đồng thời nghi ngờ mạnh u tế bào mầm buồng trứng tiết β-hCG.
MRI hé lộ sự thật: Khối u nghi ác tính ORADS 5
Khi chỉ số β-hCG ổn định và progesterone ở mức rất thấp, bệnh nhân được chỉ định chụp MRI bụng – chậu có thuốc cản từ để đánh giá chi tiết.
Kết quả MRI ghi nhận:
- Kích thước khối u: Buồng trứng trái có khối u 170mm, tăng nhanh so với 140mm chỉ sau 3 tháng.
- Đặc điểm hình ảnh: ORADS 5, mức độ nghi ngờ ác tính rất cao, cao hơn so với kết quả MRI trước đó (ORADS 4).
Bác sĩ tiếp tục đánh giá mở rộng, chỉ định siêu âm ổ bụng, gan – mật – tụy – dạ dày và chụp X-quang phổi. Kết quả chưa ghi nhận tổn thương di căn hay bất thường ở cơ quan khác – một tín hiệu thuận lợi cho bệnh nhân.
Hội chẩn đa chuyên khoa – Cân nhắc giữa an toàn và thiên chức làm mẹ
Dựa trên kết quả xét nghiệm và chẩn đoán hình ảnh, đội ngũ bác sĩ Thiện Nhân đã thống nhất hai hướng điều trị chính:
- Phẫu thuật triệt để: Cắt bỏ toàn bộ khối u cùng các cơ quan lân cận để đảm bảo an toàn tối đa và hạn chế nguy cơ tái phát.
- Phẫu thuật bảo tồn: Giữ lại buồng trứng bên lành và tử cung nhằm duy trì khả năng sinh sản, sau đó tiếp tục điều trị chuyên sâu theo phác đồ phù hợp.
Với sự đồng hành tận tâm của đội ngũ bác sĩ Thiện Nhân, bệnh nhân đã được tư vấn kỹ lưỡng và lựa chọn hướng điều trị phù hợp nhất cho mình bởi chuyên gia hàng đầu của bệnh viện phụ sản trung ương Hà Nội. Kết quả giải phẫu bệnh sau mổ xác định: Ung thư biểu mô thanh dịch độ cao buồng trứng. Hiện bệnh nhân đang chuẩn bị bước vào giai đoạn điều trị tiếp theo.
Cảnh báo và lời khuyên cho phụ nữ trẻ
Ung thư buồng trứng được mệnh danh là “kẻ giết người thầm lặng” vì:
- Triệu chứng ban đầu thường mơ hồ như đầy bụng, khó tiêu, đau âm ỉ… nên dễ bị bỏ qua.
- Phần lớn được phát hiện ở giai đoạn muộn, khi khối u đã phát triển lớn.
- Không chỉ xuất hiện ở phụ nữ trung niên, bệnh ngày càng có xu hướng trẻ hóa, thậm chí gặp ở phụ nữ chưa từng sinh con.
Lời khuyên từ bác sĩ Thiện Nhân:
- Khám phụ khoa định kỳ mỗi 6–12 tháng, đặc biệt đối với phụ nữ trẻ, làm việc xa nhà hoặc có tiền sử bệnh phụ khoa.
- Khi có dấu hiệu bất thường, nên đến cơ sở y tế uy tín, có hệ thống thiết bị hiện đại (Siêu âm, MRI 3.0 Tesla, xét nghiệm sinh hóa – miễn dịch…) để được chẩn đoán và hội chẩn đa chuyên khoa để quyết định nhanh nhất (từ lúc phát hiện, theo dõi đến chuyển viện chỉ 3 ngày)
- Không phải mọi trường hợp β-hCG tăng đều là mang thai, và không phải mọi khối u buồng trứng đều lành tính – việc tầm soát sớm chính là chìa khóa giúp phụ nữ bảo vệ sức khỏe và thiên chức làm mẹ.
Thiện Nhân Hospital – Tiên phong Y khoa Kỹ thuật cao tại miền Trung
🏨 Cơ sở 1: 276 – 278 – 280 Đống Đa, Phường Hải Châu, TP. Đà Nẵng
🏨 Cơ sở 2: 168 Hùng Vương, Phường Nghĩa Lộ, Tỉnh Quảng Ngãi
| Dành cho Khách hàng Việt kiều & quốc tế
Nguồn tham khảo











